INICIO
CONÓCENOS
Casos reales
Galería de imágenes
Galería de vídeos
Saber Más
Noticias
NUESTROS SERVICIOS
EQUIPO
CONTACTO
Contáctanos
PEDIR CITA
INICIO
CONÓCENOS
Casos reales
Galería de imágenes
Galería de vídeos
Saber Más
Noticias
NUESTROS SERVICIOS
EQUIPO
CONTACTO
PEDIR CITA
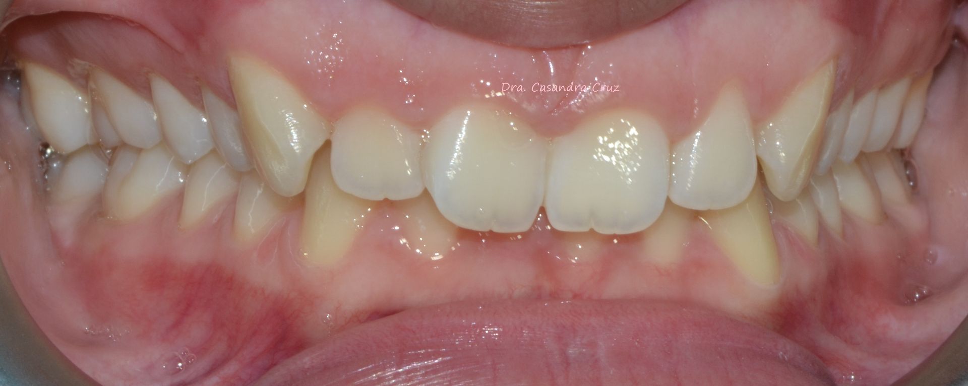
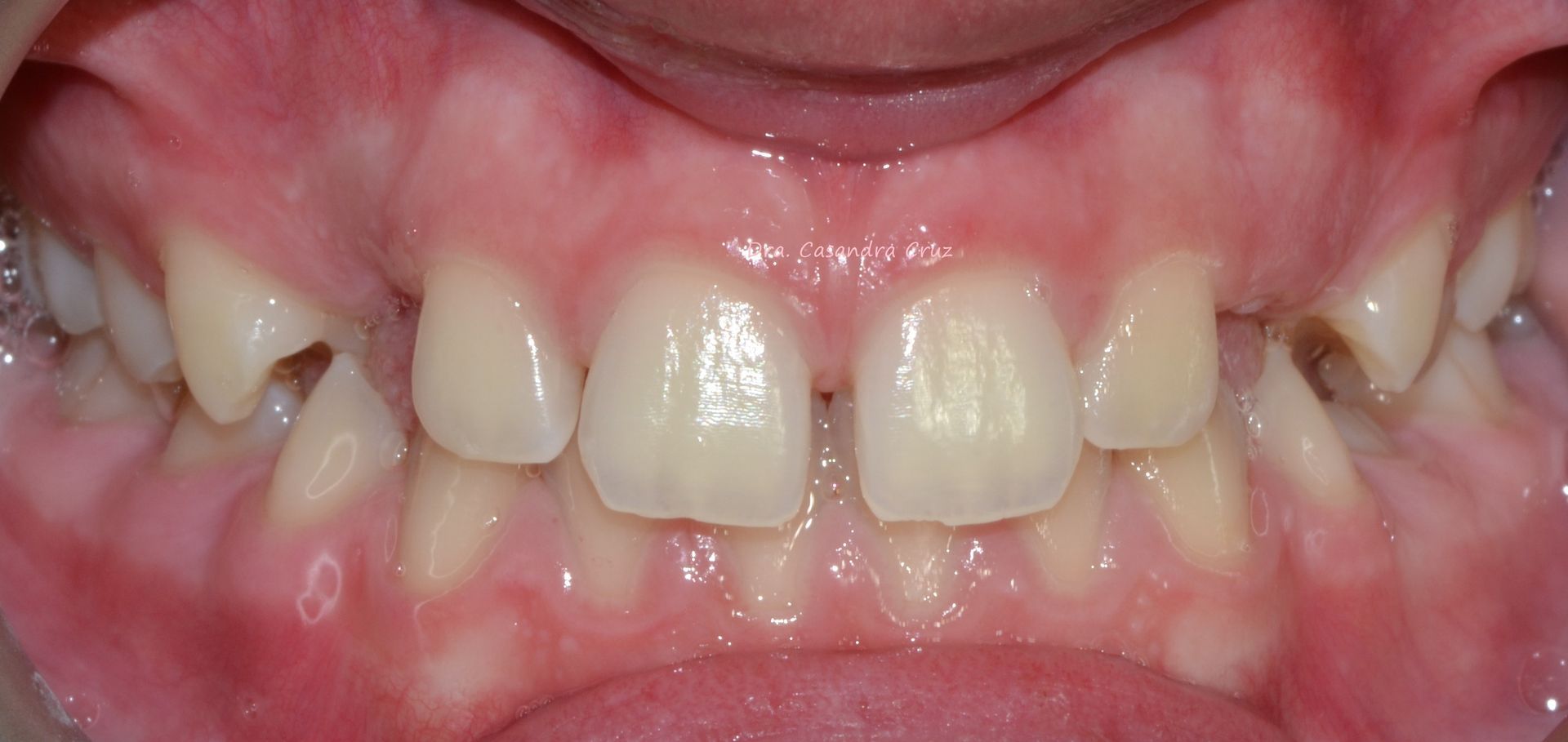
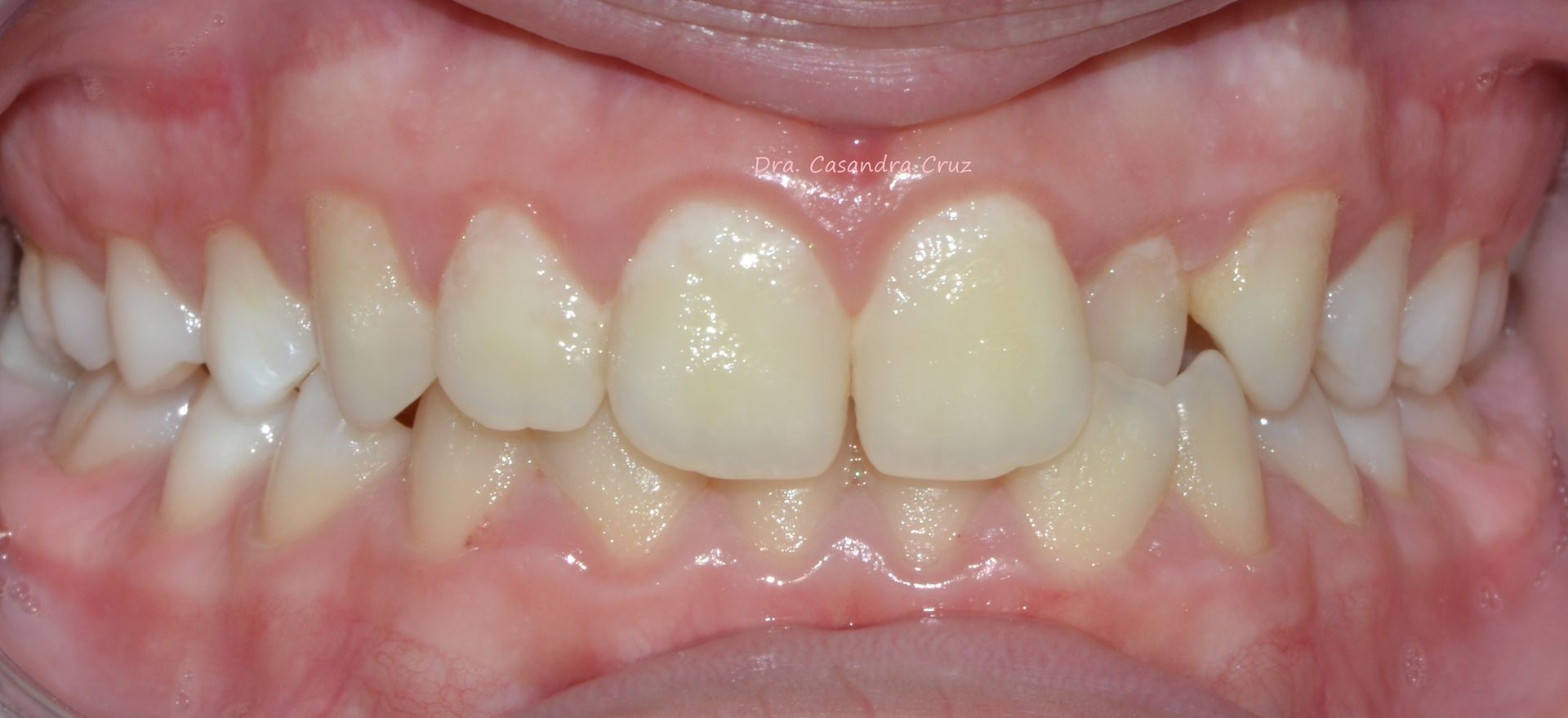
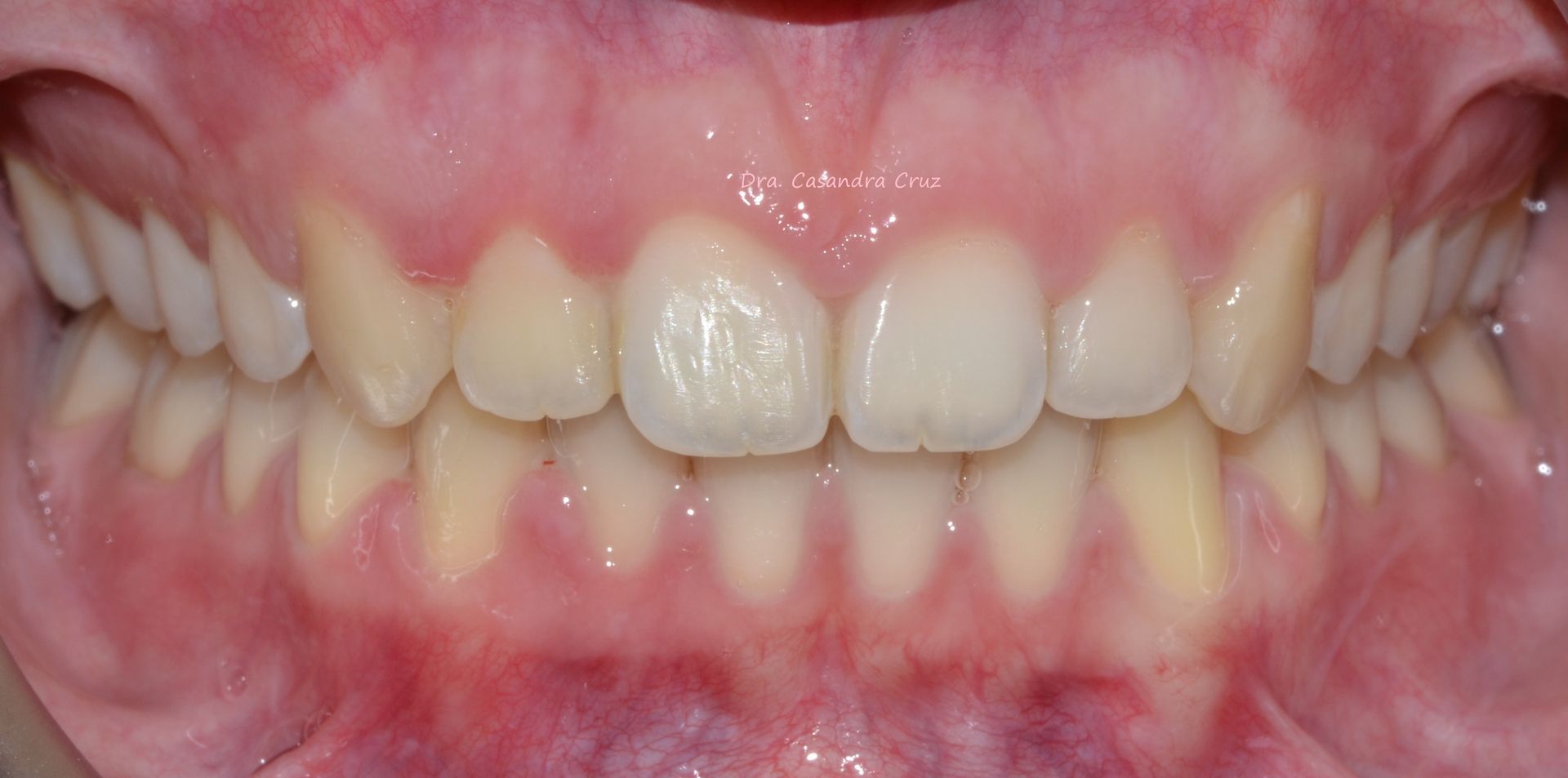
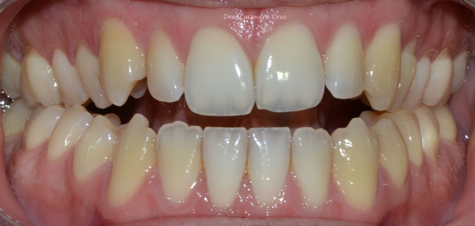
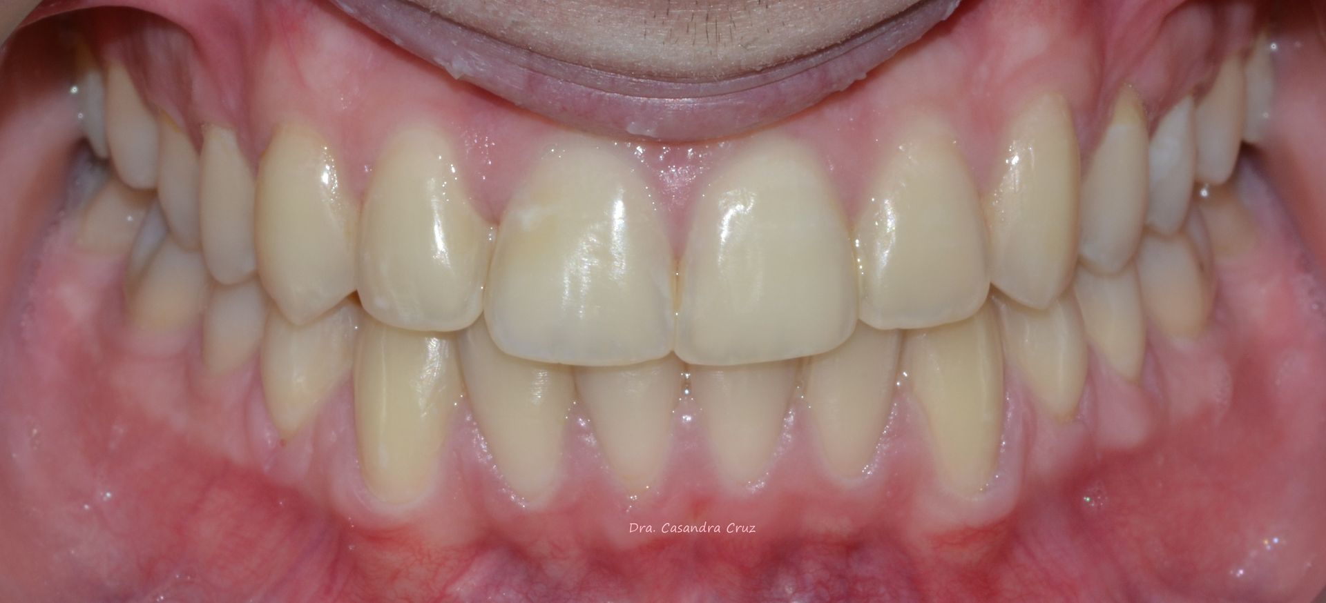
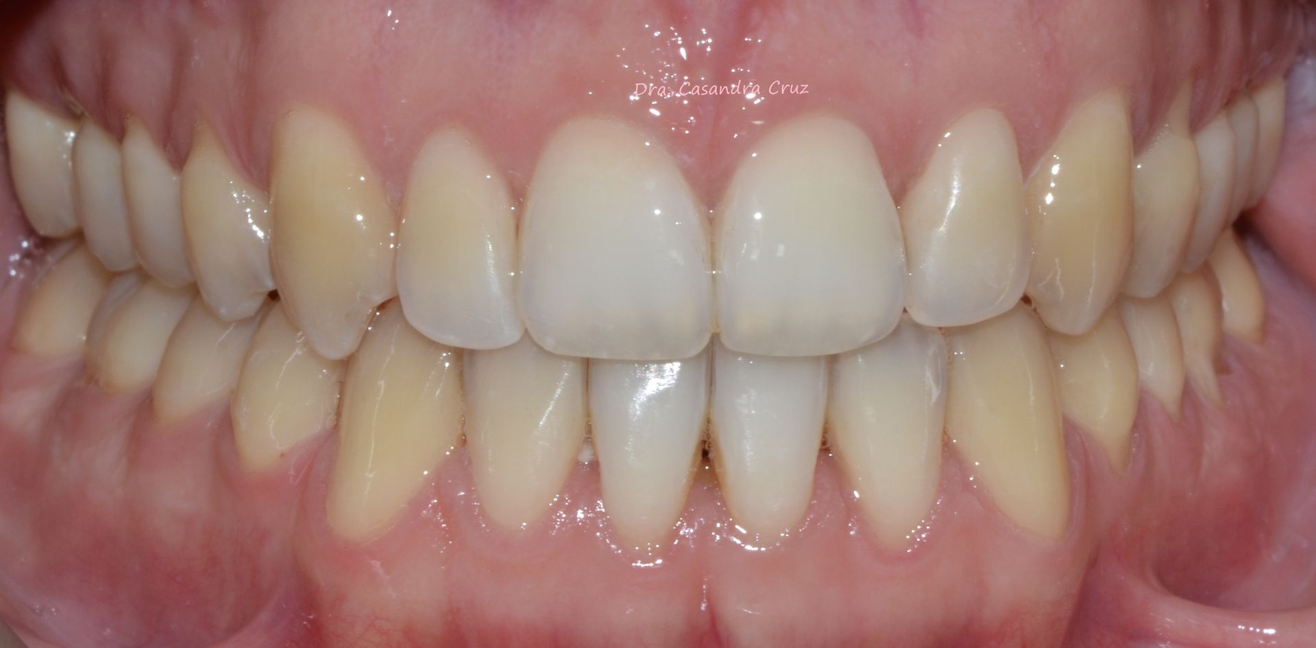
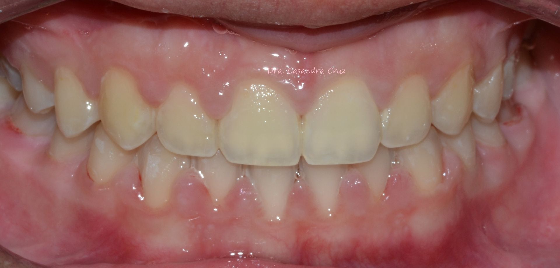
Casos reales
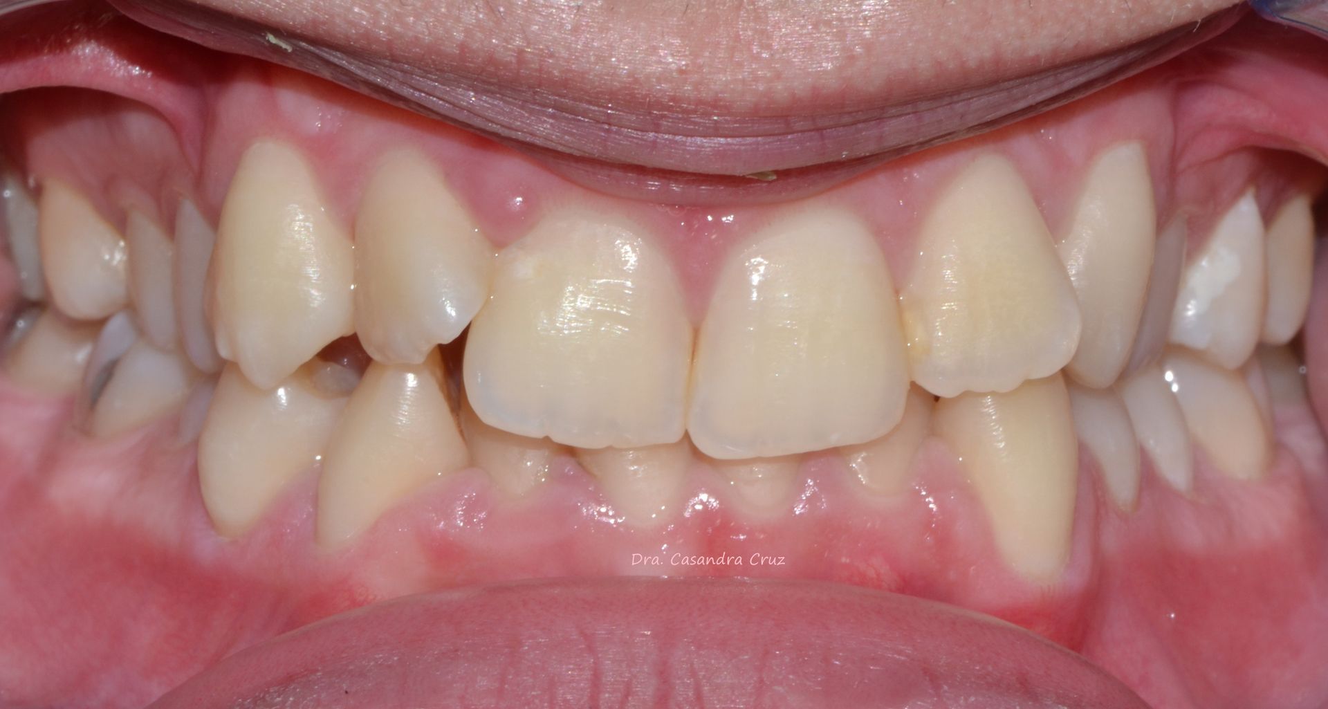
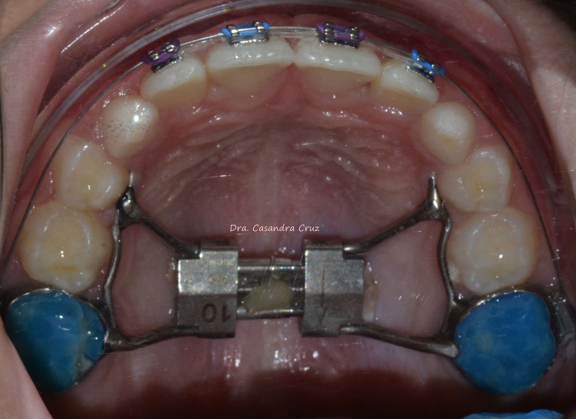
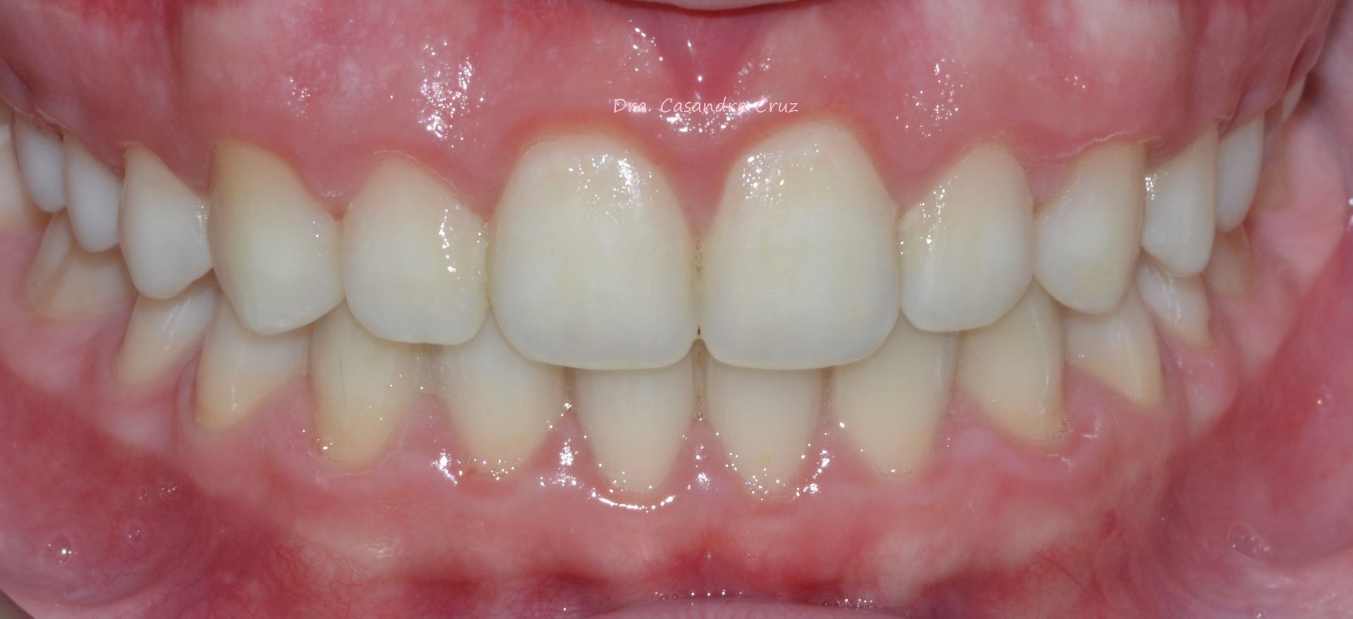
Casos de ortodoncia realizados en nuestra clínica.
Imagen de tac
Button
Caso de paciente de barra con sobredentadura
Button
Antes
Button
Después
Button
Antes
Button
Después
Button
Antes
Button
Después
Button
Antes
Button
Después
Button
Antes
Button
Después
Button
Antes
Button
Después
Button
Limpieza
Button
625612687
CONTACTA CON NOSOTROS
LLÁMANOS
Mándanos un mail
Haz click en
Copiar mail
o
Abrir correo
Checkmark Circle
Correo copiado
scmuelas@gmail.com
DÓNDE ESTAMOS
Avenida José Mesa y López 79-81, Las Palmas de Gran Canaria 35010, ESP
Dónde estamos
HORARIO DE APERTURA
Lun - Juev
09:00
-
13:00
16:00
-
20:00
Viernes
08:30
-
15:30
Sáb - Dom
Cerrado
Clínica de ortodoncia en Las Palmas de Gran Canaria
Ortodoncia invisalign en Las Palmas de Gran Canarias
Odontología general en Las Palmas de Gran Canarias
Estetica dental en Las Palmas de Gran Canarias
Implantes dentales en Las Palmas de Gran Canarias
Clínica dental integral en Las Palmas de Gran Canarias
Aviso legal
Aviso legal
-
Política de privacidad
Política de privacidad
-
Política de cookies
Política de cookies
-
Declaración accesibilidad
Declaración accesibilidad
-
Política de envío y devoluciones
Política de envío y devoluciones
Share by: